“Did you know that your smile is one of the first things people notice about you?”
There are many ways to improve your smile to achieve a brilliant and a beautiful smile that you deserve. Professional whitening is one of the simplest ways to achieve this. Teeth whitening effectively works by removing the surface stains caused by foods, coffee, red wine, smoking, aging and erosion and also by changing the actual color of the tooth and/or removing the internal stains of the teeth.
We have been answering a lot of questions on the products available and how whitening is performed, so we thought it is best to create a post about it to educate our patients and the public!
Over the counter whitening products
Products in this category range from various tooth pastes to whitening strips. These products work mostly by removing the surface stains. The pastes contain abrasives to remove the surface stains and make your teeth whiter. These products can be harmful if used over time. Whitening strips contain chemicals to whiten the teeth from inside but at a significantly lowered concentrations as the process is not supervised.
At home whitening Trays and Gels
These usually contain mild amounts of whitening agents that are delivered by a custom tray to be used for a certain amount of time. They mostly work by changing the actual color of the tooth. They can work great but usually require consistent use every day to achieve results. We also require to take impressions of your teeth to make custom trays for you to be used at home. Watch the following video to understand the process a little more…
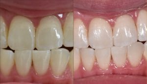
In Office Whitening Systems
We use two types of in office whitening systems to deliver beautiful whiter smiles in less than an hour. We use a laser and light assisted whitening system to whiten your teeth up to 4 shades in 30 minutes. This is the safest method of whitening as it is controlled, causes no sensitivity or damage to your teeth and you get a tray to use at home after as well. Each session takes 30 minutes. The before and after photo you see was done at our office using just one session of this system. Our fabulous patient reported no sensitivity and was very happy with the results.
Some may want even whiter results than this or may have uneven teeth in which case we recommend our other whitening system that delivers upto 8 shades whiter in an hour (one session). The gel is carefully applied to the desired areas and whiter results are seen immediately after!

What are the side effects of professional whitening?
Multiple studies have shown that professionally available whitening products cause no damage to the enamel of your teeth proving them safe and effective. However, most damage from whitening products happen because of misuse and improper application.
We always recommend supervised whitening even if it is being done at home to ensure safe and healthy teeth whitening!
